患者男,25岁,右耳流脓液、听力下降5年。查体:右侧鼓膜穿孔,传导性耳聋,CT检查如下图。临床拟诊为A.慢性中耳乳突炎伴胆脂瘤形成B.急性化脓...

作者: rantiku 人气: - 评论: 0
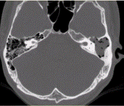
问题 患者男,25岁,右耳流脓液、听力下降5年。查体:右侧鼓膜穿孔,传导性耳聋,CT检查如下图。 临床拟诊为
选项 A.慢性中耳乳突炎伴胆脂瘤形成 B.急性化脓性中耳炎 C.神经鞘膜瘤 D.组织细胞增生症 E.鼓室球瘤 F.外耳道胆脂瘤
答案 A
解析 A

猜你喜欢

发表评论
更多 网友评论0 条评论)
暂无评论

Copyright © 2012-2014 恰考网 Inc. 保留所有权利。 Powered by tikuer.com

页面耗时0.0690秒, 内存占用1.03 MB, Cache:redis,访问数据库17次