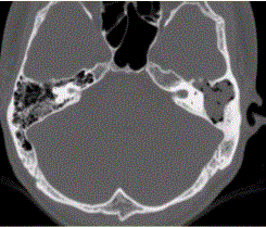
患者男,25岁,右耳流脓液、听力下降5年。查体:右侧鼓膜穿孔,传导性耳聋,CT检查如下图。慢性中耳炎引起颅内感染,累及部位多为A.额叶B.顶叶...

作者: rantiku 人气: - 评论: 0
问题 患者男,25岁,右耳流脓液、听力下降5年。查体:右侧鼓膜穿孔,传导性耳聋,CT检查如下图。 慢性中耳炎引起颅内感染,累及部位多为
选项 A.额叶 B.顶叶 C.枕叶 D.颞叶 E.小脑半球 F.桥脑
答案 D
解析 D

猜你喜欢

发表评论
更多 网友评论0 条评论)
暂无评论

Copyright © 2012-2014 恰考网 Inc. 保留所有权利。 Powered by tikuer.com

页面耗时0.0336秒, 内存占用1.03 MB, Cache:redis,访问数据库19次