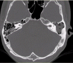
患者男,25岁,右耳流脓液、听力下降5年。查体:右侧鼓膜穿孔,传导性耳聋,CT检查如下图。慢性中耳乳突炎的并发症包括A.脑膜炎B.脑脓肿C...

作者: rantiku 人气: - 评论: 0
问题 患者男,25岁,右耳流脓液、听力下降5年。查体:右侧鼓膜穿孔,传导性耳聋,CT检查如下图。 慢性中耳乳突炎的并发症包括
选项 A.脑膜炎 B.脑脓肿 C.颅底骨髓炎 D.头皮下脓肿 E.颈内静脉炎和乙状窦脓肿 F.颈静脉球高位
答案 ABCDE
解析 ABCDE

猜你喜欢

发表评论
更多 网友评论0 条评论)
暂无评论

Copyright © 2012-2014 恰考网 Inc. 保留所有权利。 Powered by tikuer.com

页面耗时0.0432秒, 内存占用1.03 MB, Cache:redis,访问数据库19次