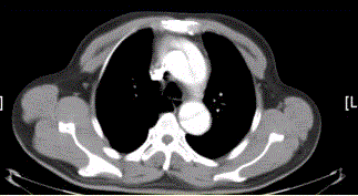
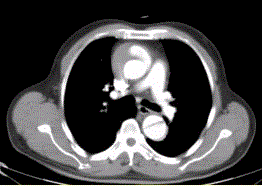
患者男,67岁,高血压病史多年,自服降压药,突发胸骨后剧烈疼痛2h,服用硝酸甘油不缓解。胸透示主动脉增宽。CT影像如下图。本例分型属A.Deb...

作者: rantiku 人气: - 评论: 0
问题 患者男,67岁,高血压病史多年,自服降压药,突发胸骨后剧烈疼痛2h,服用硝酸甘油不缓解。胸透示主动脉增宽。CT影像如下图。 本例分型属
选项 A.DebakeyI型 B.DebakeyIIa型 C.DebakeyIIb型 D.DebakeyIII型 E.StanfordA型 F.StanfordB型
答案 AE
解析 AE

猜你喜欢

发表评论
更多 网友评论0 条评论)
暂无评论

Copyright © 2012-2014 恰考网 Inc. 保留所有权利。 Powered by tikuer.com

页面耗时0.0439秒, 内存占用1.03 MB, Cache:redis,访问数据库20次