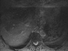
男,65岁,背部疼痛2个月余,MRI检查如图,请选出最可能的诊断 ( )A、硬膜外纤维化B、神经根鞘囊肿C、椎管内肿瘤D、椎间盘突出 ...

作者: rantiku 人气: - 评论: 0
问题 男,65岁,背部疼痛2个月余,MRI检查如图,请选出最可能的诊断 ( )
选项 A、硬膜外纤维化 B、神经根鞘囊肿 C、椎管内肿瘤 D、椎间盘突出 E、椎间盘炎
答案 D
解析

猜你喜欢

发表评论
更多 网友评论0 条评论)
暂无评论

访问排行

Copyright © 2012-2014 恰考网 Inc. 保留所有权利。 Powered by tikuer.com

页面耗时0.0456秒, 内存占用1.03 MB, Cache:redis,访问数据库20次