女,77岁,发现右手部肿块二周,请结合影像图像提出最可能的诊断 ( )A、血管瘤B、以上都不是C、多发性腱鞘囊肿D、骨囊肿...

作者: rantiku 人气: - 评论: 0
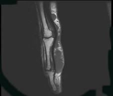
问题 女,77岁,发现右手部肿块二周,请结合影像图像提出最可能的诊断 ( )
选项 A、血管瘤 B、以上都不是 C、多发性腱鞘囊肿 D、骨囊肿 E、肌内脓肿
答案 C
解析

猜你喜欢

发表评论
更多 网友评论0 条评论)
暂无评论

访问排行

Copyright © 2012-2014 恰考网 Inc. 保留所有权利。 Powered by tikuer.com

页面耗时0.0358秒, 内存占用1.03 MB, Cache:redis,访问数据库20次