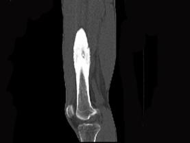
患者,男,23岁,左大腿远端疼痛,夜间明显,服阿司匹林可缓解,请结合所提供图像,选择最佳答案 ( )A、骨巨细胞瘤B、骨肉瘤C、骨...

作者: rantiku 人气: - 评论: 0
问题 患者,男,23岁,左大腿远端疼痛,夜间明显,服阿司匹林可缓解,请结合所提供图像,选择最佳答案 ( )
选项 A、骨巨细胞瘤 B、骨肉瘤 C、骨样骨瘤 D、骨化性纤维瘤 E、骨脓肿
答案 C
解析

猜你喜欢

发表评论
更多 网友评论0 条评论)
暂无评论
错误啦!

错误信息

  • 消息: [程序异常] : MISCONF Redis is configured to save RDB snapshots, but it's currently unable to persist to disk. Commands that may modify the data set are disabled, because this instance is configured to report errors during writes if RDB snapshotting fails (stop-writes-on-bgsave-error option). Please check the Redis logs for details about the RDB error.
  • 文件: /twcms/kongphp/cache/cache_redis.class.php
  • 位置: 第 85 行
    <?php echo 'KongPHP, Road to Jane.'; ?>