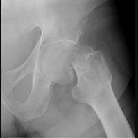
图示骨折后,下列哪一体征不可能出现 ( )A、患肢略长于健肢B、Shoemaker线相交于脐下C、Bryant三角底边缩短D、患肢外展...

作者: rantiku 人气: - 评论: 0
问题 图示骨折后,下列哪一体征不可能出现 ( )
选项 A、患肢略长于健肢 B、Shoemaker线相交于脐下 C、Bryant三角底边缩短 D、患肢外展、外旋、缩短畸形 E、髋部叩击痛
答案 A
解析

猜你喜欢

发表评论
更多 网友评论0 条评论)
暂无评论

访问排行

Copyright © 2012-2014 恰考网 Inc. 保留所有权利。 Powered by tikuer.com

页面耗时0.0463秒, 内存占用1.03 MB, Cache:redis,访问数据库19次