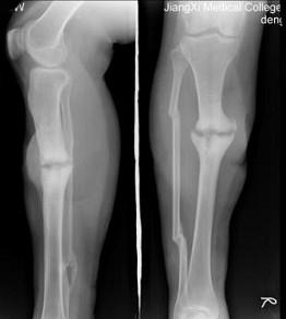
48岁女性患者,因车祸致右胫腓骨骨折,行外固定术后两年复查,如图所示,最可能的诊断是 ( )A、右胫骨断端不连接B、右胫骨畸形愈合C、右胫...

作者: rantiku 人气: - 评论: 0
问题 48岁女性患者,因车祸致右胫腓骨骨折,行外固定术后两年复查,如图所示,最可能的诊断是 ( )
选项 A、右胫骨断端不连接 B、右胫骨畸形愈合 C、右胫骨假关节形成 D、右胫骨骨折愈合好,有大量骨痂形成 E、右胫骨愈合延迟
答案 A
解析

猜你喜欢

发表评论
更多 网友评论0 条评论)
暂无评论

访问排行

Copyright © 2012-2014 恰考网 Inc. 保留所有权利。 Powered by tikuer.com

页面耗时0.0771秒, 内存占用1.03 MB, Cache:redis,访问数据库20次