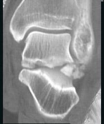
男,28岁,从高处坠落后双足剧痛一月余,请结合影像学检查,选出最可能的诊断 ( )A、舟状骨骨折B、楔骨骨折C、骰骨骨折D、距骨骨折 ...

作者: rantiku 人气: - 评论: 0
问题 男,28岁,从高处坠落后双足剧痛一月余,请结合影像学检查,选出最可能的诊断 ( )
选项 A、舟状骨骨折 B、楔骨骨折 C、骰骨骨折 D、距骨骨折 E、跟骨骨折
答案 D
解析

猜你喜欢

发表评论
更多 网友评论0 条评论)
暂无评论
错误啦!

错误信息

  • 消息: [程序异常] : MISCONF Redis is configured to save RDB snapshots, but it's currently unable to persist to disk. Commands that may modify the data set are disabled, because this instance is configured to report errors during writes if RDB snapshotting fails (stop-writes-on-bgsave-error option). Please check the Redis logs for details about the RDB error.
  • 文件: /twcms/kongphp/cache/cache_redis.class.php
  • 位置: 第 85 行
    <?php echo 'KongPHP, Road to Jane.'; ?>