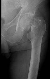
图示股骨颈骨折为Garden第几型 ( )A、Ⅳ型B、以上都不是C、Ⅱ型D、Ⅲ型E、Ⅰ型

作者: rantiku 人气: - 评论: 0
问题 图示股骨颈骨折为Garden第几型 ( )
选项 A、Ⅳ型 B、以上都不是 C、Ⅱ型 D、Ⅲ型 E、Ⅰ型
答案 A
解析

猜你喜欢

发表评论
更多 网友评论0 条评论)
暂无评论

访问排行

Copyright © 2012-2014 恰考网 Inc. 保留所有权利。 Powered by tikuer.com

页面耗时0.0392秒, 内存占用1.03 MB, Cache:redis,访问数据库19次