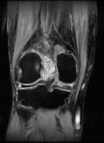
男,50岁,膝关节侧方疼痛,请结合影像图像,选择最可能的诊断 ( )A、前十字韧带囊肿B、膝关节腔积液C、滑膜型关节结核D、前...

作者: rantiku 人气: - 评论: 0
问题 男,50岁,膝关节侧方疼痛,请结合影像图像,选择最可能的诊断 ( )
选项 A、前十字韧带囊肿 B、膝关节腔积液 C、滑膜型关节结核 D、前十字韧带黏液样变性 E、化脓性关节炎
答案 D
解析

猜你喜欢

发表评论
更多 网友评论0 条评论)
暂无评论
错误啦!

错误信息

  • 消息: [程序异常] : MISCONF Redis is configured to save RDB snapshots, but it's currently unable to persist to disk. Commands that may modify the data set are disabled, because this instance is configured to report errors during writes if RDB snapshotting fails (stop-writes-on-bgsave-error option). Please check the Redis logs for details about the RDB error.
  • 文件: /twcms/kongphp/cache/cache_redis.class.php
  • 位置: 第 85 行
    <?php echo 'KongPHP, Road to Jane.'; ?>