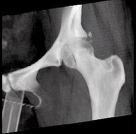
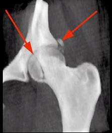
女,35岁,摔伤后左髋部剧痛,活动受限6小时,请结合影像学检查,选出最可能的诊断 ( )A、加莱阿奇骨折B、肱骨骨折C、股骨头骨折D、...

作者: rantiku 人气: - 评论: 0
问题 女,35岁,摔伤后左髋部剧痛,活动受限6小时,请结合影像学检查,选出最可能的诊断 ( )
选项 A、加莱阿奇骨折 B、肱骨骨折 C、股骨头骨折 D、骨盆骨折 E、股骨颈骨折
答案 C
解析

猜你喜欢

发表评论
更多 网友评论0 条评论)
暂无评论

访问排行

Copyright © 2012-2014 恰考网 Inc. 保留所有权利。 Powered by tikuer.com

页面耗时0.0850秒, 内存占用1.03 MB, Cache:redis,访问数据库15次