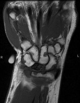
女,41岁,纺织工,腕部痛无力数周,请结合CR和MR,选出最可能的诊断 ( )A、骨髓炎B、骨软骨炎C、月骨缺血坏死D、骨质疏...

作者: rantiku 人气: - 评论: 0
问题 女,41岁,纺织工,腕部痛无力数周,请结合CR和MR,选出最可能的诊断 ( )
选项 A、骨髓炎 B、骨软骨炎 C、月骨缺血坏死 D、骨质疏松 E、月骨结核
答案 C
解析

猜你喜欢

发表评论
更多 网友评论0 条评论)
暂无评论
错误啦!

错误信息

  • 消息: [程序异常] : MISCONF Redis is configured to save RDB snapshots, but it's currently unable to persist to disk. Commands that may modify the data set are disabled, because this instance is configured to report errors during writes if RDB snapshotting fails (stop-writes-on-bgsave-error option). Please check the Redis logs for details about the RDB error.
  • 文件: /twcms/kongphp/cache/cache_redis.class.php
  • 位置: 第 85 行
    <?php echo 'KongPHP, Road to Jane.'; ?>