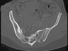
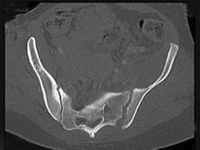
男,56岁,右髋部疼痛,结合图像,最可能的诊断是 ( )A、骨转移瘤B、类风湿关节炎C、骶髂关节结核D、强直性脊柱炎E、骶髂关节炎

作者: rantiku 人气: - 评论: 0
问题 男,56岁,右髋部疼痛,结合图像,最可能的诊断是 ( )
选项 A、骨转移瘤 B、类风湿关节炎 C、骶髂关节结核 D、强直性脊柱炎 E、骶髂关节炎
答案 E
解析

猜你喜欢

发表评论
更多 网友评论0 条评论)
暂无评论

访问排行

Copyright © 2012-2014 恰考网 Inc. 保留所有权利。 Powered by tikuer.com

页面耗时0.0292秒, 内存占用1.03 MB, Cache:redis,访问数据库19次