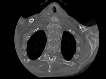
男,92岁,下腰不适伴晨僵半年余,请结合影像学检查,选出最可能的诊断 ( )A、阻滞椎B、类风湿关节炎C、强直性脊柱炎D、化脓...

作者: rantiku 人气: - 评论: 0
问题 男,92岁,下腰不适伴晨僵半年余,请结合影像学检查,选出最可能的诊断 ( )
选项 A、阻滞椎 B、类风湿关节炎 C、强直性脊柱炎 D、化脓性脊柱炎 E、脊椎退行性变
答案 C
解析

猜你喜欢

发表评论
更多 网友评论0 条评论)
暂无评论

访问排行

Copyright © 2012-2014 恰考网 Inc. 保留所有权利。 Powered by tikuer.com

页面耗时0.0504秒, 内存占用1.03 MB, Cache:redis,访问数据库20次