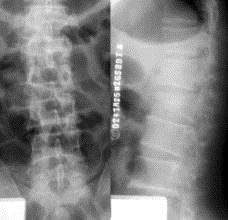
病历摘要: 患者×××,男性,21岁,不慎从3米高处坠落,双足着地,出现双足跟肿胀疼痛,腰痛不能站立。查体:腰1棘突有压痛和叩击痛,双足足跟部肿胀,触痛(...

作者: rantiku 人气: - 评论: 0
问题 病历摘要: 患者×××,男性,21岁,不慎从3米高处坠落,双足着地,出现双足跟肿胀疼痛,腰痛不能站立。查体:腰1棘突有压痛和叩击痛,双足足跟部肿胀,触痛(+),双下肢感觉正常,双足伸足母、伸趾正常,双膝关节伸屈正常。 按照Frankel分级,脊髓损害的分组以下叙述正确的是:
选项 A、不完全性损害:在神经平面以下存在运动功能,大部分关键肌的肌力大于 或等于3级 B、正常:感觉和运动功能,包括盆腔脏器(膀胱直肠)功能正常 C、不完全性损害:在神经平面以下包括骶段以下感觉功能但无运动功能 D、不完全性损害:在神经平面以下,存在运动功能,大部分关键肌的肌力小于3级 E、完全性损害:骶段骶4、骶5无任何感觉和运动功能保留
答案 ABCDE
解析 ABCDE

猜你喜欢

发表评论
更多 网友评论0 条评论)
暂无评论

访问排行

Copyright © 2012-2014 恰考网 Inc. 保留所有权利。 Powered by tikuer.com

页面耗时0.0632秒, 内存占用1.03 MB, Cache:redis,访问数据库18次