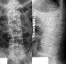
病历摘要: 患者×××,男性,21岁,不慎从3米高处坠落,双足着地,出现双足跟肿胀疼痛,腰痛不能站立。查体:腰1棘突有压痛和叩击痛,双足足跟部肿胀,触痛(...

作者: rantiku 人气: - 评论: 0
问题 病历摘要: 患者×××,男性,21岁,不慎从3米高处坠落,双足着地,出现双足跟肿胀疼痛,腰痛不能站立。查体:腰1棘突有压痛和叩击痛,双足足跟部肿胀,触痛(+),双下肢感觉正常,双足伸足母、伸趾正常,双膝关节伸屈正常。 胸腰椎骨折常见的并发症有哪些?
选项 A、下肢静脉栓塞 B、尿路感染 C、肺部感染 D、马尾神经损伤 E、褥疮 F、脊髓损伤
答案 ABCDEF
解析 ABCDEF

猜你喜欢

发表评论
更多 网友评论0 条评论)
暂无评论

访问排行

Copyright © 2012-2014 恰考网 Inc. 保留所有权利。 Powered by tikuer.com

页面耗时0.0482秒, 内存占用1.03 MB, Cache:redis,访问数据库20次