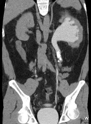
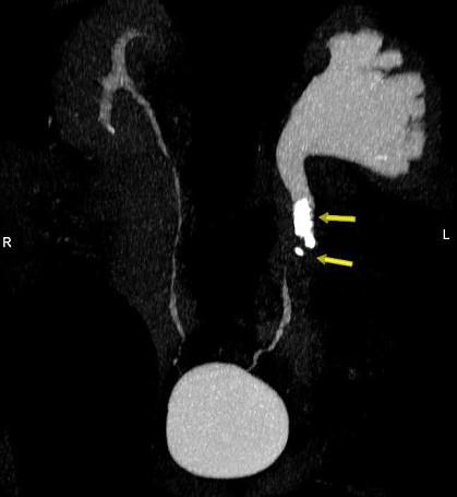
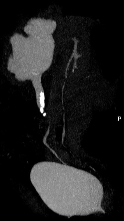
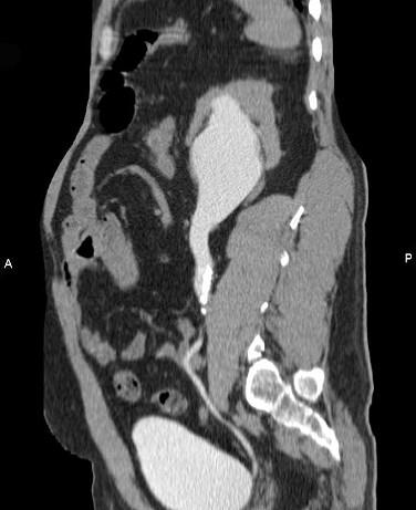
男,42岁,反复左侧腰部疼痛伴血尿3个月余,CT检查如图,下列说法错误的是 ( )A、左输尿管结核并左肾积水B、考虑为左输尿管结石并积...

作者: rantiku 人气: - 评论: 0
问题 男,42岁,反复左侧腰部疼痛伴血尿3个月余,CT检查如图,下列说法错误的是 ( )
选项 A、左输尿管结核并左肾积水 B、考虑为左输尿管结石并积水 C、左侧输尿管上段扩张 D、左侧肾盂肾盏扩张 E、左侧输尿管内可见多发的高密度影
答案 A
解析

猜你喜欢

发表评论
更多 网友评论0 条评论)
暂无评论

访问排行

Copyright © 2012-2014 恰考网 Inc. 保留所有权利。 Powered by tikuer.com

页面耗时0.0400秒, 内存占用1.03 MB, Cache:redis,访问数据库19次