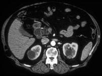
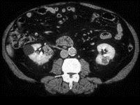
男,54岁,无痛性血尿1个月余,请根据所示图像,选择最可能诊断 ( )A、右侧肾囊肿合并左侧肾癌B、多发性肾癌合并肾囊肿C、多囊肾D、...

作者: rantiku 人气: - 评论: 0
问题 男,54岁,无痛性血尿1个月余,请根据所示图像,选择最可能诊断 ( )
选项 A、右侧肾囊肿合并左侧肾癌 B、多发性肾癌合并肾囊肿 C、多囊肾 D、左侧肾癌并右肾转移 E、多发性肾囊肿
答案 B
解析

猜你喜欢

发表评论
更多 网友评论0 条评论)
暂无评论

访问排行

Copyright © 2012-2014 恰考网 Inc. 保留所有权利。 Powered by tikuer.com

页面耗时0.0397秒, 内存占用1.03 MB, Cache:redis,访问数据库18次