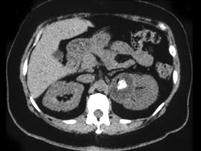
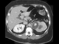
女,42岁,左侧腰痛伴尿频、尿急、尿痛,尿白细胞(++),尿细菌培养为大肠杆菌,请根据所示图像,选择最可能诊断 ( )A、左侧肾转移瘤B、左侧...

作者: rantiku 人气: - 评论: 0
问题 女,42岁,左侧腰痛伴尿频、尿急、尿痛,尿白细胞(++),尿细菌培养为大肠杆菌,请根据所示图像,选择最可能诊断 ( )
选项 A、左侧肾转移瘤 B、左侧局限型黄色肉芽肿性肾盂肾炎 C、左侧肾结核 D、左侧肾脓肿 E、左侧肾癌
答案 B
解析

猜你喜欢

发表评论
更多 网友评论0 条评论)
暂无评论

访问排行

Copyright © 2012-2014 恰考网 Inc. 保留所有权利。 Powered by tikuer.com

页面耗时0.0671秒, 内存占用1.03 MB, Cache:redis,访问数据库18次