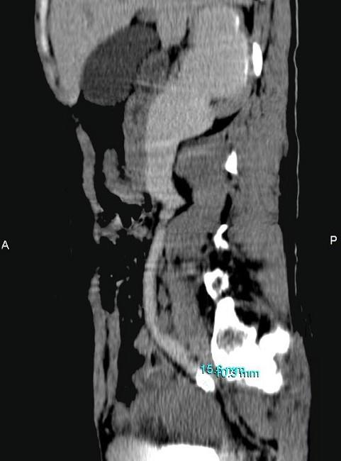
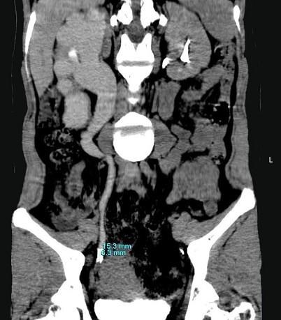
女,42岁,反复右下腹部绞痛向会阴部放射1 月,CT检查如图示,下列诊断正确的是 ( )A、右侧输尿管下段结核,其上方输尿管扩张积...

作者: rantiku 人气: - 评论: 0
问题 女,42岁,反复右下腹部绞痛向会阴部放射1 月,CT检查如图示,下列诊断正确的是 ( )
选项 A、右侧输尿管下段结核,其上方输尿管扩张积水 B、右侧输尿管下段炎性狭窄,其上方输尿管扩张积水 C、右侧输尿管中段结石,其上方输尿管扩张积水 D、右侧输尿管下段结石,其上方输尿管扩张积水 E、右侧输尿管上段结石,其上方输尿管扩张积水
答案 C
解析

猜你喜欢

发表评论
更多 网友评论0 条评论)
暂无评论

访问排行

Copyright © 2012-2014 恰考网 Inc. 保留所有权利。 Powered by tikuer.com

页面耗时0.0562秒, 内存占用1.03 MB, Cache:redis,访问数据库17次