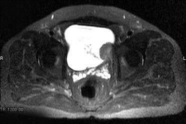
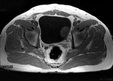
男,59岁。血尿1个月。MRI检查如图所示。最可能的诊断是 ( )A、膀胱息肉B、输尿管囊肿C、膀胱癌D、膀胱结石E、膀胱内血块

作者: rantiku 人气: - 评论: 0
问题 男,59岁。血尿1个月。MRI检查如图所示。最可能的诊断是 ( )
选项 A、膀胱息肉 B、输尿管囊肿 C、膀胱癌 D、膀胱结石 E、膀胱内血块
答案 C
解析

猜你喜欢

发表评论
更多 网友评论0 条评论)
暂无评论

访问排行

Copyright © 2012-2014 恰考网 Inc. 保留所有权利。 Powered by tikuer.com

页面耗时0.0478秒, 内存占用1.03 MB, Cache:redis,访问数据库17次