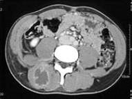
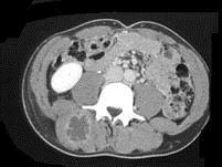
女,28岁,右肾区痛伴高热,请根据所示图像,选择最可能诊断 ( )A、右侧输尿管下段结石B、右侧脊柱旁脓肿C、右侧输尿管上段结石D、右...

作者: rantiku 人气: - 评论: 0
问题 女,28岁,右肾区痛伴高热,请根据所示图像,选择最可能诊断 ( )
选项 A、右侧输尿管下段结石 B、右侧脊柱旁脓肿 C、右侧输尿管上段结石 D、右侧输尿管中段结石 E、右肾结石
答案 B
解析

猜你喜欢

发表评论
更多 网友评论0 条评论)
暂无评论

访问排行

Copyright © 2012-2014 恰考网 Inc. 保留所有权利。 Powered by tikuer.com

页面耗时0.0460秒, 内存占用1.03 MB, Cache:redis,访问数据库19次