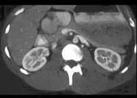
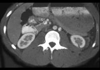
男,38岁,有外伤史,请根据所示图像,选择最可能诊断 ( )A、肾碎裂B、双肾未见异常C、肾挫伤D、微小的肾裂伤E、肾皮质缺损

作者: rantiku 人气: - 评论: 0
问题 男,38岁,有外伤史,请根据所示图像,选择最可能诊断 ( )
选项 A、肾碎裂 B、双肾未见异常 C、肾挫伤 D、微小的肾裂伤 E、肾皮质缺损
答案 D
解析

猜你喜欢

发表评论
更多 网友评论0 条评论)
暂无评论

访问排行

Copyright © 2012-2014 恰考网 Inc. 保留所有权利。 Powered by tikuer.com

页面耗时0.0611秒, 内存占用1.03 MB, Cache:redis,访问数据库20次