女,38岁,无特殊临床表现,根据影像,选择最有可能的诊断 ( )A、左肾高密度囊肿B、左肾单纯性囊肿并感染C、左肾单纯性囊肿D...

作者: rantiku 人气: - 评论: 0
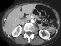
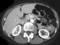
问题 女,38岁,无特殊临床表现,根据影像,选择最有可能的诊断 ( )
选项 A、左肾高密度囊肿 B、左肾单纯性囊肿并感染 C、左肾单纯性囊肿 D、左肾钙化性囊肿 E、左肾癌
答案 A
解析

猜你喜欢

发表评论
更多 网友评论0 条评论)
暂无评论

访问排行

Copyright © 2012-2014 恰考网 Inc. 保留所有权利。 Powered by tikuer.com

页面耗时0.0459秒, 内存占用1.03 MB, Cache:redis,访问数据库18次