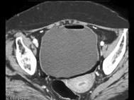
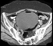
女,54岁,腹胀、肉眼血尿2天,有糖尿病病史,请根据所示图像,选择最可能诊断 ( )A、膀胱癌B、膀胱息肉C、膀胱炎D、气肿性膀胱炎 ...

作者: rantiku 人气: - 评论: 0
问题 女,54岁,腹胀、肉眼血尿2天,有糖尿病病史,请根据所示图像,选择最可能诊断 ( )
选项 A、膀胱癌 B、膀胱息肉 C、膀胱炎 D、气肿性膀胱炎 E、未见异常
答案 D
解析

猜你喜欢

发表评论
更多 网友评论0 条评论)
暂无评论

访问排行

Copyright © 2012-2014 恰考网 Inc. 保留所有权利。 Powered by tikuer.com

页面耗时0.0546秒, 内存占用1.03 MB, Cache:redis,访问数据库18次