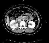
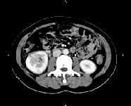
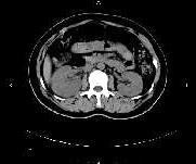
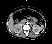
女,27岁,寒战高热、尿频、尿痛3天,尿检:白细胞(+++),CT平扫及增强扫描如图所示,下列说法错误的是 ( )A、考虑...

作者: rantiku 人气: - 评论: 0
问题 女,27岁,寒战高热、尿频、尿痛3天,尿检:白细胞(+++),CT平扫及增强扫描如图所示,下列说法错误的是 ( )
选项 A、考虑为急性肾盂肾炎 B、考虑为慢性肾盂肾炎 C、增强后可见条片状密度减低区 D、左肾未见异常 E、右肾体积增大
答案 B
解析

猜你喜欢

发表评论
更多 网友评论0 条评论)
暂无评论

访问排行

Copyright © 2012-2014 恰考网 Inc. 保留所有权利。 Powered by tikuer.com

页面耗时0.0405秒, 内存占用1.03 MB, Cache:redis,访问数据库20次