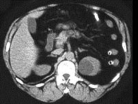
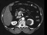
1986年Bosniak根据CT征象提出肾囊性病变四级分类法,下列图片中的肾囊肿属于哪一类 ( )A、BosniakⅣ类B、以上都不是C、...

作者: rantiku 人气: - 评论: 0
问题 1986年Bosniak根据CT征象提出肾囊性病变四级分类法,下列图片中的肾囊肿属于哪一类 ( )
选项 A、BosniakⅣ类 B、以上都不是 C、BosniakⅡ类 D、BosniakⅢ类 E、BosniakⅠ类
答案 E
解析

猜你喜欢

发表评论
更多 网友评论0 条评论)
暂无评论

访问排行

Copyright © 2012-2014 恰考网 Inc. 保留所有权利。 Powered by tikuer.com

页面耗时0.0372秒, 内存占用1.03 MB, Cache:redis,访问数据库18次