女,63岁,高热、左侧腰痛伴尿频、尿痛,请根据所示图像,选择最可能诊断 ( )A、慢性肾盂肾炎B、黄色肉芽肿性肾盂肾炎C、化脓性肾盂肾...

作者: rantiku 人气: - 评论: 0
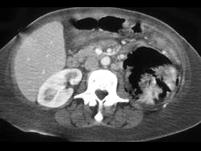
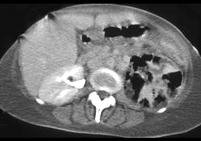
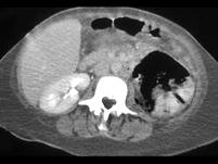
问题 女,63岁,高热、左侧腰痛伴尿频、尿痛,请根据所示图像,选择最可能诊断 ( )
选项 A、慢性肾盂肾炎 B、黄色肉芽肿性肾盂肾炎 C、化脓性肾盂肾炎 D、气肿性肾盂肾炎 E、左肾脓肿
答案 D
解析

猜你喜欢

发表评论
更多 网友评论0 条评论)
暂无评论

访问排行

Copyright © 2012-2014 恰考网 Inc. 保留所有权利。 Powered by tikuer.com

页面耗时0.0621秒, 内存占用1.03 MB, Cache:redis,访问数据库19次