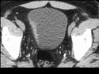
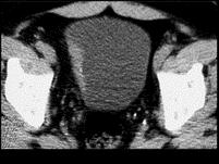
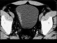
男,53岁,尿频、尿急3个月余,肉眼血尿两天,请根据影像,判断其最可能的诊断 ( )A、慢性膀胱炎B、膀胱憩室伴感染C、膀胱结石 ...

作者: rantiku 人气: - 评论: 0
问题 男,53岁,尿频、尿急3个月余,肉眼血尿两天,请根据影像,判断其最可能的诊断 ( )
选项 A、慢性膀胱炎 B、膀胱憩室伴感染 C、膀胱结石 D、膀胱憩室 E、膀胱癌
答案 E
解析

猜你喜欢

发表评论
更多 网友评论0 条评论)
暂无评论

访问排行

Copyright © 2012-2014 恰考网 Inc. 保留所有权利。 Powered by tikuer.com

页面耗时0.0439秒, 内存占用1.03 MB, Cache:redis,访问数据库20次