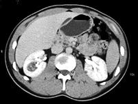
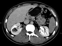
男,45岁,右腰部隐痛不适伴无痛性肉眼血尿1个月,请结合图像,选择最可能诊断 ( )A、右肾盂癌B、右肾脓肿C、右肾血管平滑肌脂肪瘤D...

作者: rantiku 人气: - 评论: 0
问题 男,45岁,右腰部隐痛不适伴无痛性肉眼血尿1个月,请结合图像,选择最可能诊断 ( )
选项 A、右肾盂癌 B、右肾脓肿 C、右肾血管平滑肌脂肪瘤 D、右肾感染性囊肿 E、右肾癌
答案 E
解析

猜你喜欢

发表评论
更多 网友评论0 条评论)
暂无评论

访问排行

Copyright © 2012-2014 恰考网 Inc. 保留所有权利。 Powered by tikuer.com

页面耗时0.0649秒, 内存占用1.03 MB, Cache:redis,访问数据库20次