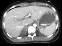
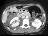
男,32岁,有外伤史,请根据所示图像,选择最可能诊断 ( )A、右肾挫伤合并右侧肾上腺外伤性出血B、右肾裂伤合并右侧肾上腺外伤性出血C、右...

作者: rantiku 人气: - 评论: 0
问题 男,32岁,有外伤史,请根据所示图像,选择最可能诊断 ( )
选项 A、右肾挫伤合并右侧肾上腺外伤性出血 B、右肾裂伤合并右侧肾上腺外伤性出血 C、右肾裂伤 D、右侧肾上腺外伤性出血 E、右肾挫伤
答案 B
解析

猜你喜欢

发表评论
更多 网友评论0 条评论)
暂无评论

访问排行

Copyright © 2012-2014 恰考网 Inc. 保留所有权利。 Powered by tikuer.com

页面耗时0.0475秒, 内存占用1.03 MB, Cache:redis,访问数据库20次