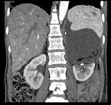
男,28岁,交通事故受伤,查体:有休克症状,请结合CT图像,选择最可能诊断 ( )A、脾破裂B、腹膜后出血C、左肾裂伤并大血肿形成D、...

作者: rantiku 人气: - 评论: 0
问题 男,28岁,交通事故受伤,查体:有休克症状,请结合CT图像,选择最可能诊断 ( )
选项 A、脾破裂 B、腹膜后出血 C、左肾裂伤并大血肿形成 D、左肾包膜下出血 E、左肾挫伤
答案 C
解析

猜你喜欢

发表评论
更多 网友评论0 条评论)
暂无评论

访问排行

Copyright © 2012-2014 恰考网 Inc. 保留所有权利。 Powered by tikuer.com

页面耗时0.1042秒, 内存占用1.03 MB, Cache:redis,访问数据库16次