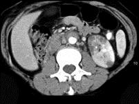
女,29岁,尿频、尿痛伴寒战高热3天。尿检:白细胞(+++),请结合图片作出最佳诊断 ( )A、左侧肾结核B、左侧肾囊肿合并感染C、左侧急...

作者: rantiku 人气: - 评论: 0
问题 女,29岁,尿频、尿痛伴寒战高热3天。尿检:白细胞(+++),请结合图片作出最佳诊断 ( )
选项 A、左侧肾结核 B、左侧肾囊肿合并感染 C、左侧急性肾盂肾炎 D、左侧肾脓肿 E、左侧肾癌
答案 C
解析

猜你喜欢

发表评论
更多 网友评论0 条评论)
暂无评论

访问排行

Copyright © 2012-2014 恰考网 Inc. 保留所有权利。 Powered by tikuer.com

页面耗时0.0461秒, 内存占用1.03 MB, Cache:redis,访问数据库19次