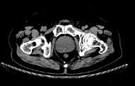
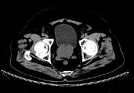
男,65岁,尿频尿急及排尿困难,CT检查如图所示,下列说法错误的是 ( )A、此为前列腺增生B、此为前列腺癌C、其包膜光滑,境界清晰D...

作者: rantiku 人气: - 评论: 0
问题 男,65岁,尿频尿急及排尿困难,CT检查如图所示,下列说法错误的是 ( )
选项 A、此为前列腺增生 B、此为前列腺癌 C、其包膜光滑,境界清晰 D、与膀胱分界清楚 E、前列腺形态呈类圆形
答案 B
解析

猜你喜欢

发表评论
更多 网友评论0 条评论)
暂无评论

访问排行

Copyright © 2012-2014 恰考网 Inc. 保留所有权利。 Powered by tikuer.com

页面耗时0.0432秒, 内存占用1.03 MB, Cache:redis,访问数据库18次