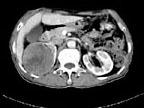
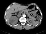
男,66岁,体检时CT平扫发现右肾上极类圆形等密度的占位性病变,CT增强扫描,病灶明显强化,下列哪项诊断正确 ( )A、右肾上极转移癌...

作者: rantiku 人气: - 评论: 0
问题 男,66岁,体检时CT平扫发现右肾上极类圆形等密度的占位性病变,CT增强扫描,病灶明显强化,下列哪项诊断正确 ( )
选项 A、右肾上极转移癌 B、右肾上极淋巴瘤 C、右肾上极囊肿 D、右肾上极血管平滑肌脂肪瘤 E、右肾上极癌
答案 E
解析

猜你喜欢

发表评论
更多 网友评论0 条评论)
暂无评论

访问排行

Copyright © 2012-2014 恰考网 Inc. 保留所有权利。 Powered by tikuer.com

页面耗时0.0405秒, 内存占用1.03 MB, Cache:redis,访问数据库15次