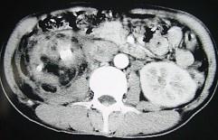
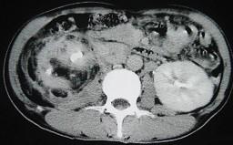
女,43岁,右腰部疼痛不适2年余,加重3天,CT及MR检查如图,应诊断为 ( )A、右肾脂肪肉瘤B、右肾海绵状血管瘤C、右肾错构瘤...

作者: rantiku 人气: - 评论: 0
问题 女,43岁,右腰部疼痛不适2年余,加重3天,CT及MR检查如图,应诊断为 ( )
选项 A、右肾脂肪肉瘤 B、右肾海绵状血管瘤 C、右肾错构瘤合并出血 D、右肾脂肪瘤 E、右肾癌
答案 C
解析

猜你喜欢

发表评论
更多 网友评论0 条评论)
暂无评论

访问排行

Copyright © 2012-2014 恰考网 Inc. 保留所有权利。 Powered by tikuer.com

页面耗时0.0818秒, 内存占用1.03 MB, Cache:redis,访问数据库14次