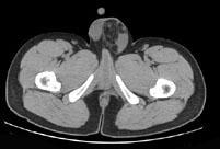
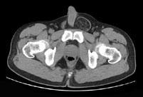
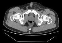
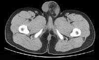
男,29岁,因左腹股沟突发痛性肿物3小时入院,左腹股沟皮下环处有一约4cm×5cm的肿物,触痛甚,质软,基底部有一细蒂,左阴囊发育小,睾丸缺如,CT检查如...

作者: rantiku 人气: - 评论: 0
问题 男,29岁,因左腹股沟突发痛性肿物3小时入院,左腹股沟皮下环处有一约4cm×5cm的肿物,触痛甚,质软,基底部有一细蒂,左阴囊发育小,睾丸缺如,CT检查如图所示,下列说法错误的是 ( )
选项 A、腹股沟斜疝 B、左腹股沟区肿块为曲张的精索静脉 C、精索静脉曲张 D、腹股沟直疝 E、左睾丸下降不全
答案 D
解析

猜你喜欢

发表评论
更多 网友评论0 条评论)
暂无评论

访问排行

Copyright © 2012-2014 恰考网 Inc. 保留所有权利。 Powered by tikuer.com

页面耗时0.0603秒, 内存占用1.03 MB, Cache:redis,访问数据库19次