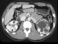
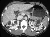
女,34岁,血肌酐、尿素氮增高,请根据所示图像,选择最可能诊断 ( )A、双侧多发性肾囊肿B、多发囊肿性肾发育不全C、多囊肾D、囊性肾...

作者: rantiku 人气: - 评论: 0
问题 女,34岁,血肌酐、尿素氮增高,请根据所示图像,选择最可能诊断 ( )
选项 A、双侧多发性肾囊肿 B、多发囊肿性肾发育不全 C、多囊肾 D、囊性肾癌 E、双肾脓肿
答案 C
解析

猜你喜欢

发表评论
更多 网友评论0 条评论)
暂无评论

访问排行

Copyright © 2012-2014 恰考网 Inc. 保留所有权利。 Powered by tikuer.com

页面耗时0.0515秒, 内存占用1.03 MB, Cache:redis,访问数据库18次