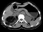
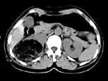
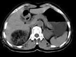
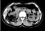
女,53岁,右侧轻度腰背酸痛,行CT检查,如图所示,可能的诊断为 ( )A、右腹膜后脂肪瘤B、右肾血管平滑肌脂肪瘤C、右肾上腺腺瘤...

作者: rantiku 人气: - 评论: 0
问题 女,53岁,右侧轻度腰背酸痛,行CT检查,如图所示,可能的诊断为 ( )
选项 A、右腹膜后脂肪瘤 B、右肾血管平滑肌脂肪瘤 C、右肾上腺腺瘤 D、右肾上腺嗜铬细胞瘤 E、右肾上腺髓样脂肪瘤
答案 E
解析

猜你喜欢

发表评论
更多 网友评论0 条评论)
暂无评论

访问排行

Copyright © 2012-2014 恰考网 Inc. 保留所有权利。 Powered by tikuer.com

页面耗时0.0708秒, 内存占用1.03 MB, Cache:redis,访问数据库19次