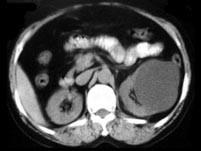
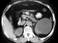
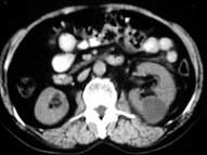
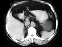
女,55岁,发热,左侧腰部痛胀不适4天,CT检查如图所示,下列说法错误的是 ( )A、考虑为多囊肾合并感染B、考虑为多发肾囊肿合并感染...

作者: rantiku 人气: - 评论: 0
问题 女,55岁,发热,左侧腰部痛胀不适4天,CT检查如图所示,下列说法错误的是 ( )
选项 A、考虑为多囊肾合并感染 B、考虑为多发肾囊肿合并感染 C、病灶境界清晰,囊内密度近似水的密度 D、肾前筋膜增厚 E、左肾上极和下极各可见一个类圆形的囊性病灶
答案 A
解析

猜你喜欢

发表评论
更多 网友评论0 条评论)
暂无评论

访问排行

Copyright © 2012-2014 恰考网 Inc. 保留所有权利。 Powered by tikuer.com

页面耗时0.0570秒, 内存占用1.03 MB, Cache:redis,访问数据库17次