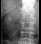
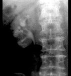
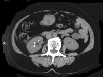
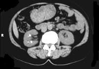
女,26岁,右腰部不适2年,影像检查如图所示,应诊断为 ( )A、右侧慢性肾小管酸中毒B、维生素D中毒所致的右肾改变C、右肾结核瘤...

作者: rantiku 人气: - 评论: 0
问题 女,26岁,右腰部不适2年,影像检查如图所示,应诊断为 ( )
选项 A、右侧慢性肾小管酸中毒 B、维生素D中毒所致的右肾改变 C、右肾结核瘤 D、甲旁亢所致的右肾改变 E、右侧髓质海绵肾
答案 E
解析

猜你喜欢

发表评论
更多 网友评论0 条评论)
暂无评论

访问排行

Copyright © 2012-2014 恰考网 Inc. 保留所有权利。 Powered by tikuer.com

页面耗时0.0412秒, 内存占用1.03 MB, Cache:redis,访问数据库20次