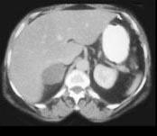
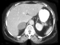
女,45岁,满月脸、向心性肥胖2年余,实验室检查:血、尿皮质醇增高,请结合CT图像,作出诊断 ( )A、左肾上腺嗜铬细胞瘤B、左肾上腺增生...

作者: rantiku 人气: - 评论: 0
问题 女,45岁,满月脸、向心性肥胖2年余,实验室检查:血、尿皮质醇增高,请结合CT图像,作出诊断 ( )
选项 A、左肾上腺嗜铬细胞瘤 B、左肾上腺增生 C、左肾上腺腺癌 D、左肾上腺转移瘤 E、左肾上腺腺瘤
答案 E
解析

猜你喜欢

发表评论
更多 网友评论0 条评论)
暂无评论

访问排行

Copyright © 2012-2014 恰考网 Inc. 保留所有权利。 Powered by tikuer.com

页面耗时0.0389秒, 内存占用1.03 MB, Cache:redis,访问数据库19次