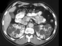
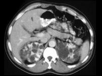
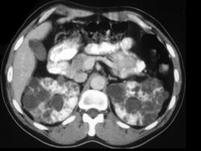
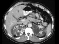
女,35岁,请根据CT图像,选择最可能作出诊断 ( )A、多囊肾B、单纯性肾囊肿C、多发性肾囊肿D、肾脓肿E、囊性肾癌

作者: rantiku 人气: - 评论: 0
问题 女,35岁,请根据CT图像,选择最可能作出诊断 ( )
选项 A、多囊肾 B、单纯性肾囊肿 C、多发性肾囊肿 D、肾脓肿 E、囊性肾癌
答案 A
解析

猜你喜欢

发表评论
更多 网友评论0 条评论)
暂无评论
错误啦!

错误信息

  • 消息: [程序异常] : MISCONF Redis is configured to save RDB snapshots, but it's currently unable to persist to disk. Commands that may modify the data set are disabled, because this instance is configured to report errors during writes if RDB snapshotting fails (stop-writes-on-bgsave-error option). Please check the Redis logs for details about the RDB error.
  • 文件: /twcms/kongphp/cache/cache_redis.class.php
  • 位置: 第 85 行
    <?php echo 'KongPHP, Road to Jane.'; ?>