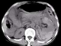
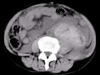
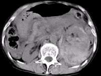
男,37岁,左腰部疼痛伴血尿,有外伤史,CT检查如图所示,下列说法错误的是 ( )A、考虑为肾挫伤B、考虑为肾包膜下出血C、左侧肾...

作者: rantiku 人气: - 评论: 0
问题 男,37岁,左腰部疼痛伴血尿,有外伤史,CT检查如图所示,下列说法错误的是 ( )
选项 A、考虑为肾挫伤 B、考虑为肾包膜下出血 C、左侧肾实质增厚,其内密度不均,可见大片状不规则的高密度影 D、腹腔内可见较高密度的积液 E、左侧肾影增大模糊,肾轮廓消失
答案 B
解析

猜你喜欢

发表评论
更多 网友评论0 条评论)
暂无评论

访问排行

Copyright © 2012-2014 恰考网 Inc. 保留所有权利。 Powered by tikuer.com

页面耗时0.0618秒, 内存占用1.03 MB, Cache:redis,访问数据库15次