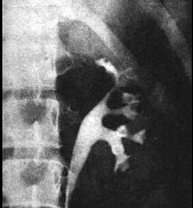
排泄性或逆行性肾盂造影,有下列哪种表现为早期肾结核 ( )A、肾盂肾盏模糊变形B、肾内有斑点状钙化影C、肾盏边缘不整齐,如虫蛀样改变D、肾...

作者: rantiku 人气: - 评论: 0
问题 排泄性或逆行性肾盂造影,有下列哪种表现为早期肾结核 ( )
选项 A、肾盂肾盏模糊变形 B、肾内有斑点状钙化影 C、肾盏边缘不整齐,如虫蛀样改变 D、肾盂肾盏不规则扩大 E、肾盏闭塞,空洞形成
答案 C
解析

猜你喜欢

发表评论
更多 网友评论0 条评论)
暂无评论

访问排行

Copyright © 2012-2014 恰考网 Inc. 保留所有权利。 Powered by tikuer.com

页面耗时0.0646秒, 内存占用1.03 MB, Cache:redis,访问数据库15次