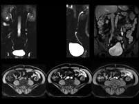
男,57岁,无痛性肉眼血尿2个月,MRI检查如图所示,下列说法错误的是 ( )A、左侧输尿管管壁节段性增厚,提示输尿管癌B、考虑为左侧输尿管炎...

作者: rantiku 人气: - 评论: 0
问题 男,57岁,无痛性肉眼血尿2个月,MRI检查如图所示,下列说法错误的是 ( )
选项 A、左侧输尿管管壁节段性增厚,提示输尿管癌 B、考虑为左侧输尿管炎 C、左侧输尿管中段管腔内可见软组织信号影 D、左侧输尿管中段内的软组织信号影,增强后有轻度强化 E、左侧输尿管中段可见充盈缺损表现
答案 B
解析

猜你喜欢

发表评论
更多 网友评论0 条评论)
暂无评论

访问排行

Copyright © 2012-2014 恰考网 Inc. 保留所有权利。 Powered by tikuer.com

页面耗时0.0414秒, 内存占用1.03 MB, Cache:redis,访问数据库16次