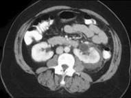
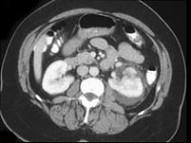
男,48岁,有外伤史,请根据所示图像,选择最可能诊断 ( )A、左侧肾盂输尿管交界处撕脱伤B、未见异常C、左肾裂伤D、左肾动脉撕裂伤 ...

作者: rantiku 人气: - 评论: 0
问题 男,48岁,有外伤史,请根据所示图像,选择最可能诊断 ( )
选项 A、左侧肾盂输尿管交界处撕脱伤 B、未见异常 C、左肾裂伤 D、左肾动脉撕裂伤 E、左肾挫伤
答案 C
解析

猜你喜欢

发表评论
更多 网友评论0 条评论)
暂无评论

访问排行

Copyright © 2012-2014 恰考网 Inc. 保留所有权利。 Powered by tikuer.com

页面耗时0.0629秒, 内存占用1.03 MB, Cache:redis,访问数据库15次