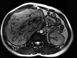
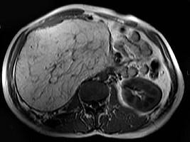
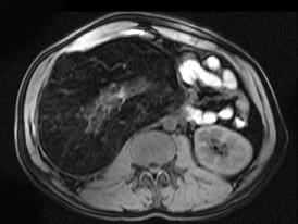
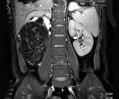
男,30岁。右侧腹部包块渐增大,伴胀痛1年余。MRI检查见巨大包块,最可能的诊断是 ( )A、右肾巨大血管瘤B、右肾错构瘤C、右肾...

作者: rantiku 人气: - 评论: 0
问题 男,30岁。右侧腹部包块渐增大,伴胀痛1年余。MRI检查见巨大包块,最可能的诊断是 ( )
选项 A、右肾巨大血管瘤 B、右肾错构瘤 C、右肾髓样脂肪瘤 D、右肾畸胎瘤 E、右侧肾上腺腺瘤
答案 C
解析

猜你喜欢

发表评论
更多 网友评论0 条评论)
暂无评论

访问排行

Copyright © 2012-2014 恰考网 Inc. 保留所有权利。 Powered by tikuer.com

页面耗时0.0464秒, 内存占用1.03 MB, Cache:redis,访问数据库14次